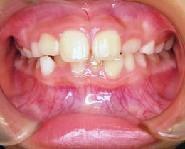
一般歯科・小児歯科
当院では、様々なご要望や悩みを持つ患者様に、治療方法や、おおよその治療回数・費用・メリット・デメリットなどを親切丁寧にご説明し、透明性の高い医療を提供しており、
みなさまに安心して治療に専念していただけるよう心掛けています。
虫歯治療や歯周病治療など、歯科医院にて受ける治療の大半を一般歯科といいます。
お子様から、ご年配の方々まで、家族のごとく親切丁寧に対応させて頂きます。
よろしくお願いいたします。
当院では、待合室にキッズコーナーを儲けております。
お母さんが診療中も、お子様はキッズコーナーで楽しくお待ち頂けましたらとの思いです。
お子様とお気軽に来院下さい。
訪問診療
お体が不自由で来院出来ない方のために、木曜の午後のみ訪問診療を行っております。
しかしながら訪問できる時間に限りがあるため、ご要望にお応えできないこともございます。
まずはお電話にてお問い合わせ下さい。

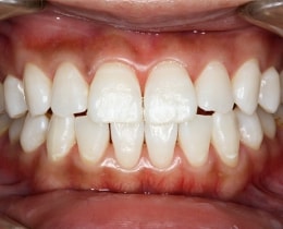
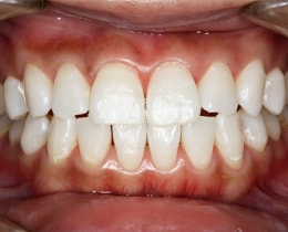
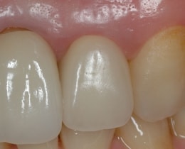
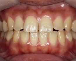
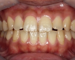
審美性を伴う歯科治療
人の第一印象は、笑顔で決まります。
素敵な口元は好印象で笑顔も綺麗!
当院ではお口のトラブルを解消するだけではなく、素敵な笑顔になるお手伝いもさせていただきます。
審美性を伴う歯科治療とは、歯の色や並び、歯肉に至るまで、お口の美しさを追求した、
総合的な歯科医療です。
美しい口元で、素敵な笑顔を手に入れましょう!
ホワイトニング
医院にて歯の美白薬品を使い、光を照射したり、
マウスピースを使い、歯を薬品で浸して美白くするのがホワイトニングです。
医院にて行うオフィスホワイトニングの方が短期間で効果が出ますが、
ご自宅にて、お好きな時間に行っていただくホームホワイトニングもおすすめです。
美白剤の主成分は過酸化水素で、消毒薬のオキシドールとして知られています。
欧米では、すでに100万人以上の方がこの技術で歯を美白しています。
喫煙や、コーヒー・紅茶の飲用などによる歯の変色、
老化や遺伝による黄ばみにも優れた効果があります。
オフィスホワイトニング
医院にて施術するホワイトニングを「オフィスホワイトニング」といいます。
ホームホワイトニング
ご自宅にて行うホワイトニングを「ホームホワイトニング」といいます。
当院では「Tion」によるホームホワイトニングを提供しております。
オールセラミックス・ハイブリッド・ジルコニアなど・・・
オールセラミックとは、金属を全く使わずに、セラミックのみを使用した歯で、
限りなく天然歯に近く、審美性も得られます。
また、金属アレルギーの方にも安心して使うことが出来る人工歯です。
当院では、オールセラミックス以外にも、ラミネートベニア、メタルボンドなど、
患者様のご要望に添うべく多種にわたる治療方法を提供しております。
ご相談の上、最適なものを選びご提供いたします。
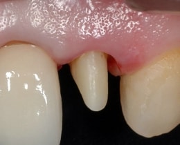
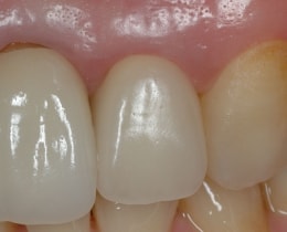
ガムシェイプ
歯と歯茎の境目の不揃いなラインを整え、歯並びを美しくみせるのが歯肉形成、
ガムシェイプと呼ばれる治療法です。
歯茎のラインを美しく統一することで、全体的なバランスが保たれ、
素敵な口元を表現することができます。
セラミック等で歯の形を良くした後に歯肉形成で歯茎のラインを整える。
とても美しい口元になります。
治療中は、麻酔を使うので痛みを感じることはありません。
お気軽にお問い合わせください。

デンチャー(義歯・入れ歯)
当院では、満足度の高い義歯を提供するにあたり、多種多様なものを取り扱っております。
保険対応の義歯から、機能的で審美性の高い保険外義歯まで幅広く取り扱っております。
相談しながら最適なものを選びましょう。
マウスピース
当院では、各種マウスピースを取り扱っております。
・無呼吸症候群
・睡眠時の食いしばり、歯ぎしり
・スポーツマウスピースなど
お気軽にご相談下さい。
床矯正
床矯正とは、取り外し式の装置を使って、顎を拡げたり、歯を動かせていく矯正治療です。
「主な特徴」
・取り外しができるため、見た目が良く、虫歯になりにくい。
・弱い力をかけていくため、痛みが出にくい。
・抜歯せずに歯並びを治すことができる。
